【累計実績3,000本以上】確かな技術と豊富な経験が支える「安心のインプラント治療」| 京王線「京王八王子駅」より徒歩5分 | JR「八王子駅」より徒歩1分

当院のインプラント治療の強み

強み01

他院の歯科医師も認めた、 高い技術力。

他院の歯科医師も認めた、高い技術力。

他院院長先生より何症例インプラントやマイクロエンドなど紹介されることが多く近隣の患者様だけではなく、県外の患者様も多数通院されています。

強み02

経験豊富な専門家と インプラント専門設備が、 患者様一人ひとりを手厚くサポート。

経験豊富な専門家とインプラント専門設備が、患者様一人ひとりを手厚くサポート。

2Dのレントゲンだけではなく、3Dでのシュミレーターを使い細部に渡っての診査診断が可能に。
他院ではわからない情報をお伝えすることが出来ます。

強み03

患者様の6割が、 新たな患者様をご紹介。
八王子で選ばれ続ける歯科医院。

患者様の6割が、新たな患者様をご紹介。八王子で選ばれ続ける歯科医院。

開院当初より長く通ってくださる患者様が多く、またご家族のみならず、ご近所の方や会社の同僚の方などを多くご紹介してくださっています。

ごあいさつ

くろさわ歯科医院 院長 黒澤 治伸
くろさわ歯科医院 院長 黒澤 治伸

充実した歯科医療技術とホスピタリティを準備して、 スタッフ共々心よりお待ちしております。

はじめまして。くろさわ歯科医院院長の黒澤治伸と申します。

私は幼い頃から手先が器用で、それを活かして人のためになる仕事はないかと思い、歯科医師になりました。今では仕事が趣味だと思えるように、歯科医師は私の天職だと思っております。
歯科医師になった時から開業して数年経つ今でも気持ちは変わらず、診療をする楽しみや喜びを毎日感じております。

私は本当に幸運な事に、ドクター1年目から素晴らしい師匠に巡り合うことができ、歯科医療の素晴らしさを教えてもらう事が出来ました。歯科医療に対し本気で取り組む姿勢や医療人としてのあり方、最高の治療技術を一から教えてもらいました。
今度は私が、歯科医療の楽しさや情熱を人に伝えていく番だと思っております。

私は、いらっしゃって頂いている沢山の患者様、素晴らしいスタッフに囲まれて、とても幸せを感じております。
その感謝の気持ちを本当に歯科治療で困っていらっしゃる患者様に還元出来るように、充実した歯科医療技術とホスピタリティを準備してスタッフ共々心よりお待ちしております。

経歴

2004年

  • 昭和大学歯学部卒業
  • 医療法人春光会 岩本歯科医院 入社
    医療法人春光会 岩本歯科医院 副院長
  • Nobel Biocare World conference in ラスベガス 出席

2005年

  • SJCD basic 年間コース 修了
  • 南青山にクリニックを構える、現代歯科医療の第一人者である山崎長郎先生指導のもと、虫歯治療、根管治療、歯周病治療など、歯科医療における治療の基礎を1年間通して学ぶ。
  • Nobel Biocare インプラント 認定

2006年

  • Dental Aesthetic Seminar 修了

2007年

  • JIADS研修会 根管治療コース 修了

2008年

  • 米国式根管治療マイクロスコープハンズオンコース 修了
  • YIC主催 日本顕微鏡歯科学会副会長三橋純先生によるマイクロスコープセミナー 修了
  • マキシスインプラントインスティテュート 出席

2009年

  • 医療法人社団 八雲会 入社
    ・インプラント専門の歯科医師として、多くの患者様の治療にあたる。
    ・インプラントを年間数百件行う。
    ・審美治療、インプラント治療を多数手がける。

2010年

  • 多くの症例数、難症例が認められアストラテックインプラント公認インストラクターへ

2011年

  • くろさわ歯科医院 開業

2012年

  • ICOI国際インプラント学会Fellowship 出席
  • THE IMPLANT ACADEMY 2012 出席

2013年

  • ICOI国際インプラント学会 出席
  • THE IMPLANT ACADEMY 2013 出席
  • ICOI国際インプラント学会 第16回アジア太平洋シンポジウムin台北 出席

2014年

  • ICOI Japan Symposium 出席
  • NOBEL BIOCARE SYMPOSIUM 2014 出席
  • 厚生労働省認定 歯科医師臨床研修指導医 取得

2015年

  • ICOI Japan Symposium 出席・症例発表

2016年

  • ICOI 国際インプラント学会シンガポール大会 出席

2017年

  • マロクリニック東京 All-on-4コース 修了

2018年

  • ニューヨーク大学 NYU International Endodontic weekプログラム 第1期生

総合歯科診療で、 長期的に安定したお口の状態を 創り出します。

健康的に噛めること。患者様に心から食ライフを楽しんでいただけること。当院は患者様の将来までを見据え、お口内をトータルに考え、治療の枠に捉われず、最良の診療をご提供し、患者様の笑顔へ貢献してまいります。

インプラント治療の症例

抜かなくてよい歯は抜きません 出来る限り歯を残します
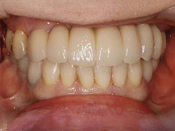
インプラント 治療前 治療前
インプラント 治療後 治療後

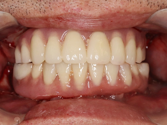
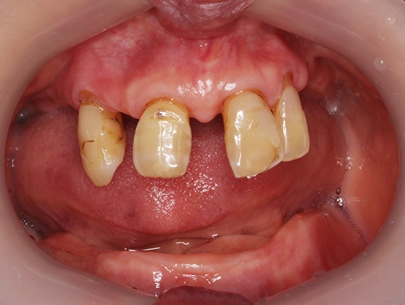
インプラント

インプラントに対しては痛そうなのと費用が気になっていたが院長と話す上で「費用期間は気になるがしっかり治したい」と本人よりお話があり上顎ALLON6、下顎両側インプラント治療となりました。

長期間での食べづらさ話しづらさに対してはスタッフと相談しながら行なって無事に治療終了となりました。

お悩み 上下両側奥歯の部分入れ歯を使っているが、ぐらつく歯が出てきて気になる
患者情報 60代女性
治療期間 R2年5月〜R3年3月
来院回数30回
治療費用 総額4,801,500円(検査・診断、手術関連処置費用等を含む)
インプラント埋込・上部構造代
リスク・副作用 定期的なメンテナンスと歯肉の下がりなど注意が必要
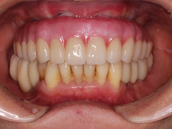
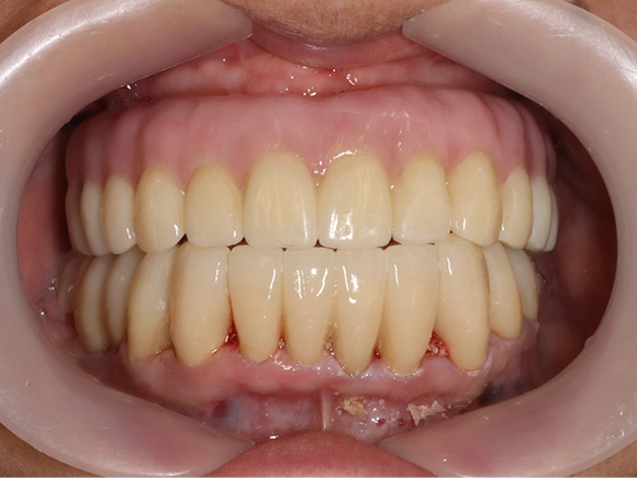
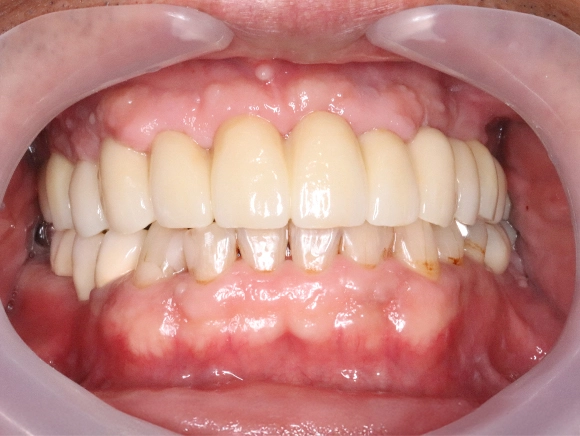
インプラント/セラミック治療 治療前 治療前
インプラント/セラミック治療 治療後 治療後

インプラント/セラミック治療

歯周病が重く上顎は残せる歯が殆どなかったが、本人もぐらぐらと揺れる歯が気にしており歯科医院は苦手だが満を持してしっかり治す決意をしてくださいました。職場の方からのご紹介で当院にご来院いただきました。

写真を撮る時に笑っていたいと仰っていたのですが、インプラント治療が終わるとキレイな口元になり笑顔が増えていて私達もとても嬉しかったです。

お悩み 歯周病が気になる
患者情報 70代女性
治療期間 H29年4月〜H30年5月
来院回数37回
治療費用 総額5,312,200円(検査・診断、手術関連処置費用等を含む)
インプラント埋込・上部構造代・セラミック補綴代
リスク・副作用 定期的なメンテナンスと歯肉の下がりなど注意が必要
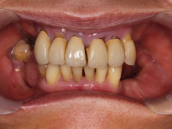
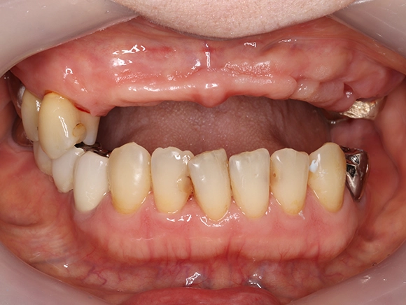
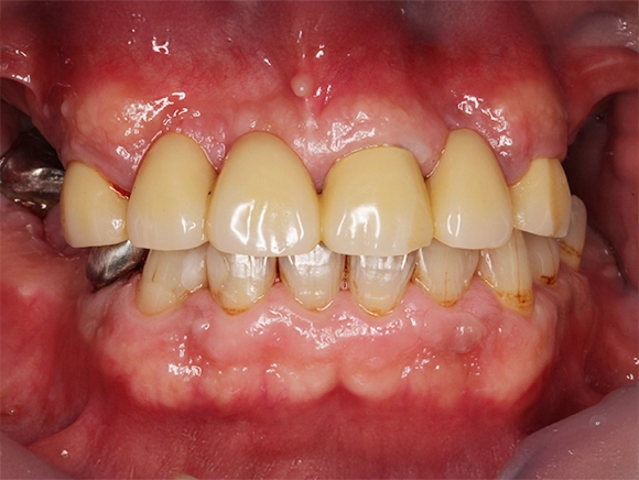
インプラント 治療前 治療前
インプラント 治療後 治療後

インプラント

入れ歯にするかインプラントにするのか迷っていたが娘さんの紹介で来院されたこともあり痛みを我慢して過ごすのが辛いとのことでインプラント治療を希望されました。

お悩み 入れ歯で不自由しており、早く噛めるようにしたい
患者情報 60代男性
治療期間 H29年5月〜H30年4月
来院回数30回
治療費用 総額3,845,000円(検査・診断、手術関連処置費用等を含む)
インプラント埋込・上部構造代
リスク・副作用 定期的なメンテナンスと歯肉の下がりなど注意が必要
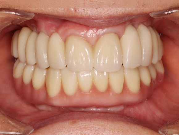
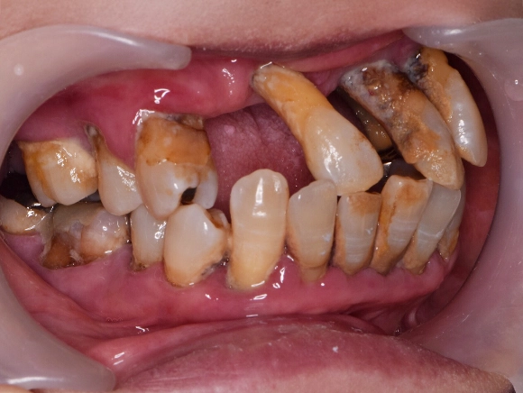
インプラント 治療前 治療前
インプラント 治療後 治療後

インプラント

旦那さんと通院中。そろそろ覚悟を決めて治療をしなくてはいけないが外科の処置がとても怖いとお話ししており、旦那さんは金額も期間も了承したが本人が凄く迷い時間をかけ考えて下さって治療を行いました。

お悩み -
患者情報 60代女性
治療期間 -
治療費用 総額2,802,600円(検査・診断、手術関連処置費用等を含む)
インプラント埋込・上部構造代
リスク・副作用 定期的なメンテナンスと歯肉の下がりなど注意が必要

全顎インプラント治療(all-on-4)の症例

見た目の美しさと噛む機能を 短期間で回復
治療前 治療前
治療後 治療後

長年の義歯で食べづらく、他の歯もグラつきがありインプラントのご相談でご来院いただきました。上下の金額に少し驚いていたが覚悟を決めてオペを決めてくださいました。

お悩み 義歯がつらく、噛めない
患者情報 60代男性
治療期間 H31年1月〜R1年10月
来院回数15回
治療費用 総額5,119,200円(検査・診断、手術関連処置費用等を含む)
インプラント埋込・上部構造:プラスチックタイプ
リスク・副作用 定期的な通院・メンテナンスを行わない場合、インプラント周囲炎の可能性がある
治療前 治療前
治療後 治療後

飛び込み相談でご来院いただきました。下は入れ歯で上はインプラントというご希望だったが上の歯が残せるので臼歯のみインプラント、下顎はAllon4での治療となりました。

お悩み 下は入れ歯、上はインプラントにしたい
患者情報 70代女性
治療期間 R5年2月〜R6年2月
来院回数16回
治療費用 総額6,748,500円(検査・診断、手術関連処置費用等を含む)
インプラント埋込・上部構造:ジルコニアクラウン
リスク・副作用 定期的な通院・メンテナンスを行わない場合、インプラント周囲炎の可能性がある

総合歯科診療で、 長期的に安定したお口の状態を 創り出します。

健康的に噛めること。患者様に心から食ライフを楽しんでいただけること。当院は患者様の将来までを見据え、お口内をトータルに考え、治療の枠に捉われず、最良の診療をご提供し、患者様の笑顔へ貢献してまいります。

インプラント料金

※価格はすべて税抜表示です

料金例

品質 診断料・オペ代 インプラント体 上部構造 総額
高品質 30,000円 170,000円
アストラテック
100,000円
シンプルセラミック
300,000円
別途スクリュー代
骨移植不要な場合
最高品質 30,000円 250,000円
ノーベルバイオケア
250,000円
ジルコニアクラウン
レアリング法
530,000円
別途スクリュー代
骨移植不要な場合

治療関連

診断料・オペ代 完全滅菌状態の器具と、使い捨てのドレープ、オペ着を使用します。 30,000円
麻酔(静脈内鎮静) 麻酔科専門医が付き添って行う麻酔です。
ほぼ眠った状態でオペを行えるため、快適です。
55,000円 / 2時間

フィクスチャー
(インプラント土台)

ブローネマルク社 (スウェーデン製) 最高品質。世界シェアNo.1メーカー。 レギュラーサイズ 250,000円 / 1本
ナローサイズ 250,000円 / 1本
ワイドサイズ 250,000円 / 1本
アストラテック社 (スウェーデン製) 高品質。世界トップクラスメーカー。 レギュラーサイズ 170,000円 / 1本

破損や脱落、不適合の場合にも安心の保証制度

くろさわ歯科医院では、患者様に安心して治療を受けていただく為に保証期間をご用意しております。保証期間中における通常使用での破損や脱落、不適合が生じた場合、当該保証規約に基づき当院の責任において下記保証負担率・期間にて修理、再装着、再製作させていただきます。

しかしながら下記(1)~(5)に該当する場合には、たとえ保証期間中であっても修理、再装着、再製作の対象外となりますのでご注意下さい。

  1. 患者様の重大な不注意や不慮の事故など明らかに当院の責任ではない場合
  2. 診療時において全く予期し得ない口腔内状態の変化による場合
  3. 当院の指示に従わない状態での使用による場合
  4. 少なくとも6ヶ月に一度の定期健診を受診されなかった場合
  5. ナイトガードを装着されなかった場合(必要とされた方のみ)

インプラント体

ノーベルバイオケア社 10年間保証
アストラテック社 5年間保証
※無償、但しオペ代・麻酔代は別途かかります

上部構造

1~3年 無償(技工代別途)
4年 15%
5年 25%
6年 35%
7年 50%
8年 70%
9年 70%
10年 80%
11年 90%
12年 100%

治療の流れ

当院ではインプラント治療の精度を上げる為、 カウンセリングやお口の中全体の診断など、 初期に時間をおとりします。
全ては治療後の成功率を高めるためです。

流れ 01
患者様より問い合わせ(電話・メール)

患者様より問い合わせ(電話・メール)

専門のコーディネーターによる来院前のカウンセリングも可能です。
来院前に大体のご予算のご相談や、今までの経緯、お困りごと、質問をお伺いして安心したお気持ちで来院してもらうよう努めています。
全身疾患の有無。服用中の薬、既往歴などをお伺いすることもございます。

流れ 02
無料相談

無料相談

インプラント担当医より、患者様のご希望を元にレントゲンまたはCTでの画像判断、今後の治療計画を立案します。

流れ 03
専門のコーディネーターによるカウンセリング

専門のコーディネーターによるカウンセリング

ドクターより立案された治療計画を元に、専門のコーディネーターが、もう一度治療計画流れを詳しくご説明します。
何パターンかの見積もりのご説明を行ないます。

流れ 04
次回ご予約に関して

次回ご予約に関して

インプラント治療に関してはご家族とも話し合っていただきたいので、次回のご予約時に治療のご希望を決めてきていただくことが殆どです。
また当院ではセカンドオピニオンを推奨しております納得して選んでいただきたいと思っております。

流れ 05
2回目の受診

2回目の受診

患者様のご希望で治療を進めることになった場合は、最短での期間を希望や、部位ごとに納得してから進めたい患者様もいるためにスケジュールを細かく決めていき、大体の目安等をドクターと共に共有します。
この時点で、もう一度全身疾患の問診や麻酔を使う場合等は細かくお伺いします。またオペ日を決めるようであれば同意書の作成。

流れ 06
オペに向けての準備(資料採取①・支払い①)

オペに向けての準備(資料採取①・支払い①)

オペに使う、資料を作成するために、口腔内写真、レントゲン(必要であれば)、型取りをします。
麻酔科との連携もこの時点で取ります。オペ代の1割の支払い。

流れ 07
オペに向けての準備(資料採取②・支払い②)

オペに向けての準備(資料採取②・支払い②)

衛生士による、クリーニング、オペに向けての問診、麻酔科の問診、オペ代の支払い残り。

流れ 08
オペ

オペ

オペスタッフでオペを行ないます。

流れ 09
消毒

消毒

オペ翌日は傷口の消毒。

流れ 10
抜糸

抜糸

オペより一週間後に抜糸。治癒期間に治療があればその間に行ないます。
ない場合は1ヶ月に1回の経過観察になります。

総合歯科診療で、 長期的に安定したお口の状態を 創り出します。

健康的に噛めること。患者様に心から食ライフを楽しんでいただけること。当院は患者様の将来までを見据え、お口内をトータルに考え、治療の枠に捉われず、最良の診療をご提供し、患者様の笑顔へ貢献してまいります。

よくあるご質問

インプラントを入れると、何でも噛めるようになりますか?

入れ歯などと異なり、インプラントは限りなく自前の歯に近い噛み心地を実現できると言われています。
リンゴやフランスパンなど、入れ歯では噛みにくいものもストレスなく食べられるようになったとの患者様の声もあります。
また、口腔内の違和感、異物感も少ないのがインプラントの特長です。

インプラント治療後はMRI検査が受けられなくなると聞いたのですが…

チタン合金を用いた通常のインプラントであれば、MRIなどの検査に影響を及ぼすことはありません。
しかし、マグネット・デンチャーと呼ばれる、磁石の力で義歯を固定するタイプのインプラントの場合、MRI画像に乱れが生じる可能性があります。
マグネット・デンチャーの使用を検討する場合、この点も含めて歯科医師から詳しい説明を受けるとよいでしょう。

高齢者がインプラント治療を受けても大丈夫でしょうか?

高齢者は代謝能力が低下し、身体の自然治癒力が弱っている場合が多いため、インプラント手術による体力の消耗が若年の方以上に健康状態に響くことがあります。
また、手の運動機能や認知能力に低下が見られる方の場合、インプラント治療後のホームケアを自ら行うことも困難になります。
とはいえ、必ずしも高齢の方がインプラント治療を受けられないわけではありません。
まずは歯科医師に相談し、必要な検査を受けてみてください。

インプラントは保険診療が適用されないと聞いたのですが…

原則的にはその通りですが、例外的に保険が適用される場合もあります。
腫瘍や骨髄炎など一定の病気や、事故による外傷によってアゴの骨の3分の1以上が失われてしまった場合、保険適用の可能性があります。
また、普通の歯周病や加齢によってアゴの骨が欠損してしまった場合は対象外ですが、先天性の疾患や骨の形成不全による場合は保険適用されることが有り得ます。
ただし、保険治療は、国の定める厳密な条件を満たし、国の認可を受けた医療機関でしか受けることができません。

インプラント治療が終わったら、もう歯科医院に行かなくていいのでしょうか?

インプラント治療の完了後も、歯科医院で定期的な検診を受けるようにしましょう。
インプラントには神経が通っていないため、何らかの病気が進行していても自覚症状が出るのが遅いのです。
定期検診によって口腔内の健康状態や噛み合わせ、インプラントの状態をチェックしてもらうことが大切です。
また、日頃のホームケアを丁寧に行っていても、歯の隅々には磨ききれない歯垢が誰でも溜まってしまうものです。
歯科医院で「PTMC」と呼ばれる歯のクリーニングを定期的に受けることで、歯周病など重大な病気の発症を事前に防ぐことができます。

お電話はこちら オンライン予約
お電話の受付は9:30~13:00/14:30~19:00(日・祝除く)